Hallo ihr Lieben,
Ich muss euch mal wieder was erzählen.
Normalerweise bekomm ich in der Früh nach dem Aufstehen immer was zum Essen.
Gestern aber nicht. Das fand ich richtig blöde.
Stattdessen sind wir erst mal Auto gefahren. Ich hab die Welt nicht mehr verstanden.
Als wir dann nach etwa einer Stunde ausgestiegen sind, sind wir in ein großes Haus gegangen.
Da hat es ganz spannend nach anderen Tieren gerochen. Ich kenn das. Als ich noch klein war, war ich auch schon mal in so einem Haus. Aber hier hats ein bisschen anders gerochen.
Nach ein bisschen warten sind wir zu einer ganz netten Tante gegangen. Die hat mich erst mal gewogen. 22kg bin ich schon schwer.
Friederike und Thomas haben mich dann mit der Tante alleine weg gehen lassen.
Dann hat die Tante eine spitze Nadel in mich gesteckt. Und dann bin ich eingeschlafen. Dann weiß ich nix mehr.
Aber nach einer kurzen Zeit bin ich wieder aufgewacht und Friederike und Thomas saßen neben mir.
Das war so schön, dass ich mit dem Schwanz gewedelt hab. Ich bin mit einer schönen warmen Decke zugedeckt gewesen.
Ich war noch etwas duselig im Kopf. Als ich aufstehen wollte bin ich gleich wieder umgefallen. Ich bin dann einfach noch liegen geblieben.
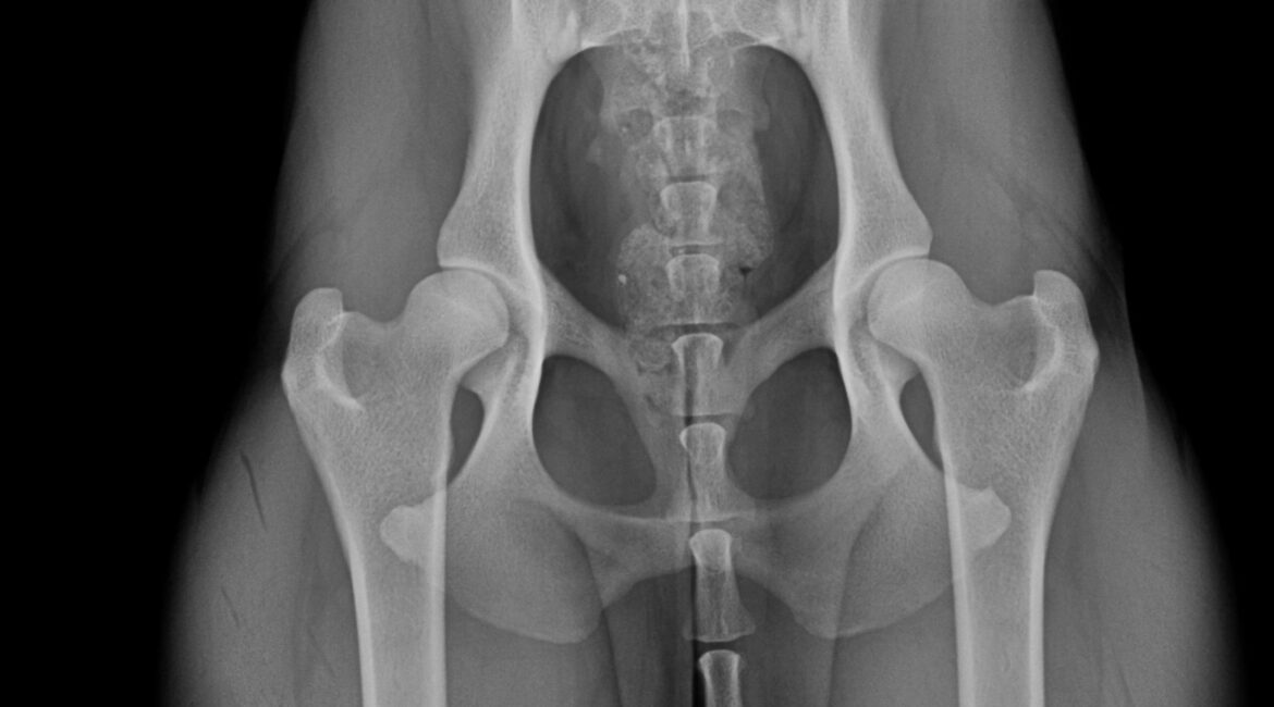
Thomas hat dann gelacht. Er hat mir ein Foto gezeigt. Ich war von innen zu sehen.
HIHI, das sieht ja lustig aus.
Nach ein paar Minuten war ich dann wieder fit und wir sind wieder nach Hause gefahren.
Dann so gegen Mittag hab ich auch wieder was zum Essen bekommen.
Ich war schon kurz vorm verhungern. Das wäre ganz schön schade um mich -oder- ?
Ganz liebe Grüße und bis zum nächsten Mal
Josie
Josies großes Abenteuer beim Tierarzt

